
A 43-year old male presents a chief complaint of knee pain, stating pain in left knee only occurs when walking or knee is overextended. Pain is occasionally nagging, located primarily in upper mid-knee area. Pain has existed only for the past six months, having started immediately after a sudden twist of knee as patient descended a ladder. Patient relates he never experienced knee pain (or even twinge) in knee since skiing accident nearly 20 years previously when he recalls a "nice jump gone bad" -- apparent outward push of left foot in wrong direction, forcing left knee to twist.
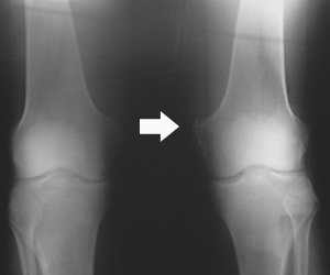
This happened to him on the slopes and he had to be taken to the local Orthopedic Surgeon by means of a stretcher, who made the diagnoses of partial medial collateral ligament tear and recommended RICE (Rest, Ice, Compression , and Elevation). At that point it took about 6 weeks for him to heal spontaneously. He is otherwise healthy and in good shape. His pain responds somewhat toCelebrex. In the past he was a heavy smoker till he quitted 10 years ago, his parents are healthy but he recalls his grandmother to have arthritis of the knees, requiring her to have a total knee replacement. On exam there was minimal edema or swelling with tenderness to touch to the medial aspect (inner side of the knee). His X-Ray showed Calcification or thickening of superior part (medical lingo: upper part ) of the Medial collateral Ligament, as if it was recalling it's unwanted memories. This condition is also known as Pellegrini-Stieda disease. X-Ray please note the the thickening and calcification of medial collateral ligament, due to a 20 year old ski accident.