
Happy Memorial
An 80 year old WWII Veteran presents with chief complaint of knee pain, patient states he has had pain in the left knee since World War II. He describes while fighting in Germany, he was shot in the knee by the enemy forces.
Subsequently he developed infection and necrosis which required surgery and removal of bone and soft tissue, this was followed by 5 months of hospitalization and IV antibiotics, If it wasn't for Penicillin, they would have had to amputate my knee.
Afterwards the patient returned home, going back to his work as a farmer, which required him years of hard work on the fields. He was getting by with his knee pain and worked till 1990 which at that point due to knee pain he was forced to retire. He had an arthroscopy in 1995 and he was recommended against total knee replacement since the prosthesis will not fit due to the damaged bone.
Patient describes pain to be worse when he walks or bends the knee. Pain is mostly located in the middle part of the knee. This elderly male has no other remarkable medical history and is otherwise healthy.
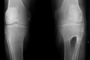
This rarely-seen case illustrates the strength of the knee joint after sustaining a major deformity; patient was able to retain mobility for many years despite extent of damage (as shown in central tibia, second-longest bone in the human body structure surpassed only by the femur).

His X-Ray showed severe osteoarthritis with deformity and fragments of metal and bullets left behind.